Σύγχρονες και ευέλικτες λύσεις
Το iPACS αποτελεί μια ευέλικτη λύση DICOM archive για την διαχείριση μεγάλου όγκου αντικειμένων DICOM, συμπεριλαμβανομένων DICOM Encapsulated non-Imaging Objects (waveforms, structured reports, …). Είναι σχεδιασμένο για τη βελτιστοποίηση των ανοικτών προτύπων υγειονομικής περίθαλψης και την ενοποίηση των εξετάσεων μεταξύ ανόμοιων συστημάτων, ανεξαρτήτως κατασκευαστή.
Το σύστημα είναι βασισμένο σε σύγχρονες τεχνολογικές πλατφόρμες και είναι πλήρως λειτουργικό σε δικτυακό web περιβάλλον.
Αποτελεί μια πραγματική λύση VNA (Vendor Neutral Archive), έτσι ώστε να σας εξασφαλίζει ότι τα δεδομένα σας και εσείς δεν είστε όμηροι.
Το 3Dnet™ Medical (www.3DnetMedical.com) είναι κάτι παραπάνω από ένα PACS...Είναι το πρώτο προϊόν ιατρικής απεικόνισης βασισμένο σε Cloud, μέσα από το οποίο οι γιατροί μπορούν να μοιράζονται, να αναλύουν, να βλέπουν ιατρικές εικόνες, να συνεργάζονται με συνεργάτες σε απευθείας σύνδεση και να κάνουν διάγνωση. Το 3Dnet™ καθιστά ικανούς τους επαγγελματίες ιατρικής φροντίδας, να έχουν πρόσβαση στη δουλειά τους οποιαδήποτε στιγμή από οποιοδήποτε μέρος χρησιμοποιώντας ένα zero footprint client, απελευθερώνοντάς τους από την προηγούμενη αναγκαιότητα να περιορίζονται σε απομονωμένους σταθμούς εργασίας.
Διαθέτει ανεπτυγμένα εργαλεία διάγνωσης και επεξεργασίας εικόνας, συμπεριλαμβανομένων πακέτων 3D (MPR, MIP, VRT) και άλλων πακέτων κλινικών εφαρμογών.
Το σύστημα υποστηρίζει πλήρως το IHE profile μαζί με πρότυπα DICOM 3.0 και HL7. Το 3Dnet™ Gateway, μπορεί να διασυνδεθεί με πολλαπλά συστήματα DICOM & HL7. Ανεξάρτητα από τον προμηθευτή ή την τοποθεσία, αυτά τα συστήματα μπορούν να ολοκληρωθούν και να ενοποιηθούν, ώστε να διευκολύνουν την αυτόματη ροή εργασίας. Το 3Dnet™ υποστηρίζει και τα τρέχοντα βιομηχανικά πρότυπα ασφαλείας: HIPAA, UK DoH, FDA, IHE και φέρει κατάλληλη CE σήμανση για διάγνωση. Οι χρήστες του 3Dnet™ μπορούν να έχουν πρόσβαση σε οποιαδήποτε δεδομένα ασθενών και σε διαγνωστικές εικόνες από οποιαδήποτε τοποθεσία. Σαν αποτέλεσμα οποιαδήποτε συσκευή έχει πρόσβαση στο διαδίκτυο, γίνεται ένα πολύτιμο εργαλείο στην ιατρική ροή εργασίας.
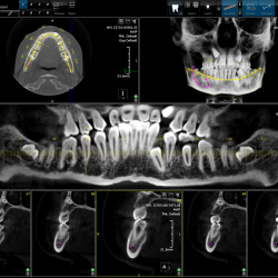
Το 3Dnet CBCT Dental είναι μια κλινική εφαρμογή για τους οδοντιάτρους που προσφέρει εύκολη απεικόνιση 2D / 3D. Το λογισμικό 3Dnet CBCT Dental έχει σχεδιαστεί για να καλύπτει τις ανάγκες των οδοντιάτρων και άλλων ορθοδοντικών. Παρέχει γρήγορη δημιουργία καμπυλόγραμμων μορφοποιήσεων με τη σήμανση σημείων κατά μήκος του τόξου της γνάθου.
Παραγωγή panoramic and paraxial προβολών. Εργαλεία μέτρησης απόστασης, γωνίας, ROI και Nerve tracking.
Οι διαγνωστικές μονάδες PET-CT βοηθούν τους ακτινολόγους να εντοπίζουν με επιτυχία οποιαδήποτε ίχνη όγκων. Η θεραπεία και η αξιολόγηση των ασθενών είναι ευκολότερη με τα δεδομένα DICOM. Οι γιατροί μπορούν να θεραπεύουν τους ασθενείς τους απλά, με υψηλής ποιότητας σαρώσεις που λαμβάνονται από τον σαρωτή.
Η μονάδα λογισμικού 3Dnet PET-CT επιτρέπει στους γιατρούς να έχουν πρόσβαση στις εξετάσεις CT / PET εύκολα και να λαμβάνουν αποφάσεις θεραπείας από τις σαφείς σαρώσεις των ιστών, των οστών και των αιμοφόρων αγγείων. Κατανομή των βλαβών με ένα κλικ και υπολογισμός του SUV. Προσαρμοσμένες διατάξεις προβολής, συμπεριλαμβανομένων των MPR και 3D MIP.
Το λογισμικό 3Dnet Colon Polyp Detection CAD βοηθάει τους γιατρούς να βρουν αβίαστα ίχνη ογκιδίων, πολύποδες του εντέρου ή οποιεσδήποτε μη φυσιολογικές αναπτύξεις στους ασθενείς τους.
Το λογισμικό εντοπίζει αυτόματα τους πολύποδες του εντέρου και επιτρέπει στους γιατρούς να εκτιμήσουν τον κίνδυνο καρκίνου που φέρουν οι πολύποδες του εντέρου.
Το Colon Polyp Detection CAD βοηθάει τους γιατρούς να χρησιμοποιούν τα ευρήματά τους για τους πολύποδες, να προσδιορίσουν εάν πρέπει να εκτελέσουν μια διαδικασία βιοψίας και να εντοπίζουν ακριβώς τη θέση που βρίσκονται οι πολύποδες του εντέρου.
Το λογισμικό 3Dnet CT Colonography βοηθά τους γιατρούς καταγράφοντας αυτόματα τυχόν σημάδια όγκων, ασθένεια των εντέρων και εκκολπωματίτιδα από τους ασθενείς τους και μετρώντας το μέγεθος οποιωνδήποτε ορατών πολυπόδων.
Το λογισμικό παρέχει λειτουργική εικονική κολονογραφία σε εξετάσεις αξονικής τομογραφίας υψηλής ανάλυσης για να βοηθήσει τους γιατρούς να αναζητήσουν τυχόν σημάδια όγκων του ήπατος, του στομάχου ή του παχέος εντέρου. Η ενότητα Colonography επιτρέπει στους γιατρούς να πάρουν γρήγορες και εύκολες αποφάσεις εύκολα και σωστά.
Το λογισμικό 3Dnet CT Colonography βοηθάει τους γιατρούς παρέχοντας ευέλικτες διατάξεις οθόνης και υποστήριξη διπλής οθόνης που επιτρέπει την άμεση εναλλαγή μεταξύ των 3D και των 2D εικόνων.
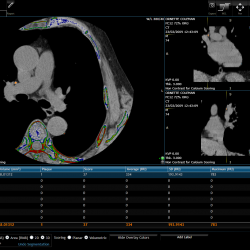
Το CT Calcium Scoring παρέχει μια ακριβή μέτρηση του ασβεστίου στις αρτηρίες σε εξετάσεις αξονικής τομογραφίας.
Το στοιχείο βαθμολόγησης CT Calcium του 3Dnet επιτρέπει στους γιατρούς να χρησιμοποιούν τα αποτελέσματα από τις αξονικές τομογραφίες για να ανιχνεύουν αυτόματα τυχόν πρώιμα συμπτώματα καρδιακής νόσου.
Το DCE-MRI Perfusion της 3Dnet επιτρέπει στους γιατρούς να μετρήσουν σωστά την πρόσληψη in vivo. Το MRI Perfusion βοηθάει τους γιατρούς να αξιολογήσουν τους όγκους και τα εγκεφαλικά επεισόδια σε ασθενείς, βασιζόμενοι σε μεθόδους ανάλυσης εικόνας που τους επιτρέπει να αναλύουν εύκολα τα δεδομένα.
Pharmaco-kinetic (PK) μοντελοποίηση για την εκτίμηση των κινητικών παραμέτρων που σχετίζονται με τη διέλευση του σκιαγραφικού μέσου, όπως οι σταθερές μεταφοράς και σταθερού ρυθμού, ο εξωκυτταρικός χώρος ο οποίος συσχετίζεται με τα παθολογικά ευρήματα του παράγοντα ανάπτυξης της πυκνότητας των μικρο-αγγείων.
To DCE-MRI διαθέτει ανάλυση παραμέτρων, καμπύλης υψηλής ποιότητας και ισχυρό αλγόριθμο αποσυγκρότησης. Η χρήση χρωμάτων στο χάρτη διαπερατότητας βοηθά τους γιατρούς δείχνοντας τη θερμότητα που αποδίδεται από έναν ασθενή.
Η μονάδα λογισμικού 3Dnet CT Vessels βοηθά τους ακτινολόγους να μετρήσουν τα αγγεία και να υπολογίσουν τις στενώσεις σε ασθενείς οι οποίοι έχουν υποβληθεί σε αξονική τομογραφία υψηλής ανάλυσης.
Αυτόματη εξαγωγή κεντρικής γραμμής των αγγείων με δυο κλικ στην κατάτμηση των αγγείων. Καμπύλες και επίπεδες μορφοποιήσεις. Αυτόματη απομάκρυνση των οστών και του τραπέζιου του αξονικού τομογράφου με ένα κλικ. Εμφάνιση του σταυρού των διατομικών διαμέτρων των αρτηριών. Ανάλυση στένωσης.
Η μονάδα λογισμικού 3Dnet CT Lung βοηθά τους ακτινολόγους να εντοπίζουν και να αναλύσουν ογκίδια στους πνεύμονες ασθενών οι οποίοι έχουν υποβληθεί σε αξονική τομογραφία υψηλής ανάλυσης.
Ογκομετρική τμηματοποίηση πνευμονικών οζιδίων με ένα κλικ. Αυτόματες μετρήσεις HU, όγκου, επιφάνειας και διαμέτρων. Δίπλα δίπλα τρέχουσα με προηγούμενη σύγκριση εξέτασης και αναφορά ρυθμού ανάπτυξης οζιδίων. Προσαρμοσμένες διατάξεις προβολής, συμπεριλαμβανομένων και 3D.
Η ανάλυση στήθους DCE-MRI αξιολογεί τον τύπο της καμπύλης έντασης χρόνου σήματος (δηλαδή καμπύλης κινητικότητας) με κατηγοριοποίηση του σχεδίου διέλευσης του σκιαγραφικού μέσου γαδολινίου. Αυτά τα πρότυπα είναι ταξινομημένα όπως και:
• Τύπου Ι, επίμονα ενισχυτικό (προοδευτικό), υποδηλώνοντας καλοήθεια.
• Ο τύπος II, σταθερό επίπεδο , έχει μια ενδιάμεση πιθανότητα για κακοήθεια.
• Τύπου III, αποτυχία, ενδεικτική κακοήθειας.
Η ενότητα 3DnetTM Perfusion προσφέρει απλά αλλά ισχυρά εργαλεία για να βοηθήσει στην ερμηνεία και ανάλυση των κινητικών καμπυλών στο στήθος DCE-MRI. Διαφορετικές αποχρώσεις διατίθενται στο μενού W / L.
Η επιθεώρηση των pixel ανά pixel επιτυγχάνεται με το πάτημα του γραφικού εργαλείου στην κάτω δεξιά γωνία του στην οθόνη και στη συνέχεια μετακινώντας το ποντίκι στις επιθυμητές περιοχές του μαστού. Η εφαρμογή θα εμφανίσει διαδραστικά τις καμπύλες έντασης / χρόνου.
Σύστημα δημιουργίας αντιγράφων Ιατρικών απεικονιστικών εξετάσεων σε CDs ή DVDs με ενσωματωμένο λογισμικό θέασης των εικόνων. Το προσφερόμενο σύστημα μπορεί να διασυνδεθεί είτε απευθείας με τις διαγνωστικές μονάδες ώστε η εγγραφή των εξετάσεων σε CDs ή DVDs να γίνεται απο τους χειριστές των διαγνωστικών μονάδων ή μέσω των διαγνωστικών σταθμών του συστήματος PACS. Παράλληλα, υπάρχει η δυνατότητα υψηλής ποιότητας εκτύπωσης της επιφάνειας του CD ή του DVD με τα στοιχεία της εξέτασης και του ασθενούς.
Εκτύπωση όλων των ιατρικών απεικονιστικών εξετάσεων ασπρόμαυρες ή έγχρωμες σε χαρτί με υψηλή ποιότητα εκτύπωσης απο οποιαδήποτε διαγνωστική μονάδα μέσω του προτύπου DICOM PMS(Print Management Service).
Πληροφοριακό σύστημα υποστήριξης των διαχειριστικών και κλινικών εργασιών των απεικονιστικών εργαστηρίων και κεντρικής διαχείρισης, αποθήκευσης, αρχειοθέτησης και διάθεσης των παραγόμενων ιατρικών εικόνων. Το σύστημα εξασφαλίζει την ταχεία πρόσβαση στις αποθηκευμένες εξετάσεις ταυτοχρόνως, σε όσους χρήστες τη ζητήσουν από οποιονδήποτε σταθμό εργασίας με τα κατάλληλα δικαιώματα.
Η εφαρμογή SECTRA PACS παρέχει ένα εύχρηστο και φιλικό περιβάλλον εργασίας στους χρήστες (ιατροί, τεχνολόγοι, νοσηλευτές κλπ) για την καταχώρηση, ανεύρεση, προβολή και επεξεργασία των στοιχείων των εξετάσεων, συμπεριλαμβανομένων των εικόνων.
Το i.RIS με μενού χρηστών στα ελληνικά βοηθάει στη σωστή οργάνωση, τόσο των απεικονιστικών τμημάτων ενός Νοσοκομείου όσο και ενός Διαγνωστικού Κέντρου πάνω στη βασική ροή εργασίας, θέτοντας σαφή όρια στο ρόλο του κάθε χρήστη στο τμήμα.